NEWS
新闻中心
SERVERS
服务项目
NEWS
最新资讯
发布时间:2024-12-09

编者按
心血管疾病已成为人类主要死亡原因,先天性心脏缺陷是最常见的人类先天缺陷,但在创建用于心血管疾病和先天性心脏病研究的类器官模型方面取得的进展明显落后于其他器官(例如肾脏、结肠、肠、脑)。因此,现在迫切需要一种更接近于真实人类心脏的体外模型,使我们能够更好地研究并进行转化应用。
今天,我们特别关注一项2021年8月由美国密歇根州立大学研究团队在Nature Communications(IF=14.7)上发表的研究成果,该研究建立了一种使用人类多能干细胞通过自组装生成与发育相关的人类心脏类器官的方法,并将该心脏类器官用于孕前糖尿病诱发的先天性心脏病建模,为人类先天性心脏病分子病理模型提供了一种新方案。
文章题目
Self-assembling human heart organoids for the modeling of cardiacdevelopment and congenital heart disease
杂志:Nature Communications(IF=14.7)
发表时间:2021.8
作者:Aitor Aguirre等
单位:美国密歇根州立大学等
01、研究结果
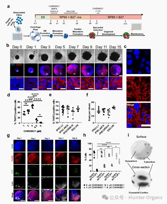
1. Wnt信号调节产生自组装的人心脏类器官
研究人员发现第一次Wnt激活的最佳条件对于成功的心脏类器官形成至关重要。在第0天暴露于不同浓度的CHIR99021(1µM、2µM、4µM、6.6µM和8µM)中24小时,然后在分化第15天通过共聚焦显微镜评估hHOs的心脏谱系形成。所有人类胚胎干细胞(hESC)和诱导多能干细胞(hiPSC)的最佳心源性中胚层诱导是在1-4μM CHIR99021浓度下,而不是单层方法报道的典型的10-12µM范围。研究人员认为在较低的CHIR浓度下,分化的增强可归因于内源性形态素的产生,分化第0天至第19天之间RNA测序分析通过揭示基本心脏发育形态因子和生长因子及其各自受体的逐步产生支持了这一假设。
为了增加类器官复杂性并产生更多与发育相关的结构,研究人员开发了一种在分化第7-9天基于第二次Wnt激活步骤诱导心外膜前器官分化的方法。通过测试不同浓度(2、4、6和8µM)和暴露时间(1、2、12、24、24和48 h),确定了CHIR99021激活第二次Wnt的条件。
在第15天通过心外膜成像和心外膜(WT1(TNNT2)标记物的定量评估心外膜细胞和心肌细胞形成的效率,发现该处理显著促进了心外膜前细胞和心外膜细胞的形成。

图1
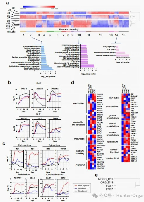
2. 转录组学分析显示hHOs密切接近人类胎儿心脏发育,并产生所有主要的心脏细胞谱系
为了描述hHOs细胞群的发育步骤和分子特征,研究人员在整个hHO形成过程中进行了转录组学分析。在分化的不同时间点(第0天至第19天)收集hHOs进行rna测序。无监督K-means聚类分析显示类器官进展了三个主要发育阶段:第0天第1天,与多能性和早期中胚层承诺相关;第3天,与早期心脏发育相关;第9天第19天,与胎儿心脏成熟相关。
为了比较hHOs的心脏发育与先前现有方法的心脏发育,研究人员使用先前建立的方案对单层iPSC衍生的心脏分化细胞进行了RNA测序。将RNA-seq结果与之前报道的单层心脏分化协议和人类胎儿心脏组织(胎龄57-67天)(“GSE106690”)的公开数据集进行了比较。在所有情况下,调节第一和第二心脏场规范的hHO心脏发育转录因子表达(分别为FHF,SHF)与在单层psc来源的心脏分化中观察到的相似,并与在胎儿心脏组织中观察到的一致。基因表达谱显示,与经历单层分化的细胞相比,hho具有更高的心肌细胞谱系复杂性,特别是在心外膜、内皮、心内膜和心脏成纤维细胞群体中。这些数据表明,hHOs的结构和细胞复杂性显著富集,从而使其与胎儿心脏一致。

图2
3. 心脏类器官产生多种心脏特异性细胞谱系
转录组学分析结果(图2)表明,第二次CHIR99021暴露导致其他间充质谱系的形成,由于诱导心外膜前器官的形成,hHOs的复杂性更高。为了评估这一发现,研究人员对继发性心脏细胞谱系进行了免疫荧光分析。共聚焦成像证实存在THY1和VIM阳性的心脏成纤维细胞(图3a),与胎儿心脏的组成相似。对心内膜标记物NFATC1的免疫荧光分析显示,心内膜层的形成(图3b)。
进一步成像显示,在第11天和第13天之间,内皮细胞(PECAM1 +)形成一个强大的互联网络,形成血管状结构。高倍图像显示心肌组织附近或嵌入一个复杂的内皮细胞网。这些结果强烈表明,在hHO发育过程中,内皮血管结构出现,为类器官增加了一个血管网络。

图3
4. 人类心脏类器官再现了心脏场的发育和房室的规范
第一和第二心脏场(FHF,SHF)是在发育中的心脏中发现的两个细胞群,在心脏发育过程中起着关键作用。第7天hHO冷冻切片的免疫荧光显示,FHF和SHF祖细胞都存在并分离到各自的心脏区域。
在人类心脏中,左心室最终由FHF祖细胞形成,而心房则由SHF祖细胞形成,因此,研究人员试图确定我们的hho是否包含属于心房或心室谱系的心肌细胞。在第15天的hHOs中,MYL2(编码肌凝蛋白轻链-2,心室亚型)和MYL7(编码肌凝蛋白轻链-7,心房亚型)的免疫荧光显示,这两种亚型的心肌细胞均呈阳性。这两个不同的群体定位于类器官的不同区域,并且很接近,这反映了人类心脏的表达模式。通过RNA-seq在整个分化方案中也观察到HAND1、HAND2和MYL7转录本的表达。这些数据表明,hho的分化包括心脏场形成、房室规范和心室形成。

图4
5. BMP4和Activin A改善心脏类器官腔的形成和血管形成
研究人员尝试了BMP4和Activin A的分别在1.25 ng/ml和1 ng/ml,与4µM CHIR99021一起作用24小时。对照组和治疗组hHOs之间的心肌(TNNT2+)或心外膜(WT1+/TJP1+)组织的形成无显著差异(图5a)。
然而,当经生长因子处理的hHOs的直径约大15%,这种差异可能与腔室连通性的增加相对应,因为BMP4/Activin A处理的hHOs具有内部腔室样腔,与对照hHOs相比,与其他腔室的连通性增加了50%(图5d,e)。用BMP4和Activin A处理的类器官的免疫荧光分析显示,PECAM1+细胞也增加了160%,表明对类器官血管化有显著影响(图5f,g)。这些结果表明,在BMP4/ActA下发育的类器官结构组织得到改善。

图5
6. 心脏类器官具有发育中的人类心脏的功能和结构特征
传统的成像方法,如共聚焦成像,不适合研究hho中复杂的三维结构。因此,我们使用了光学相干断层扫描(OCT),使用微创的方法来表征腔室的特性,从而保留了腔室的物理和形态特性。OCT显示第15天hho内清晰的腔室空间。内部hHO拓扑的三维重建显示这些腔室之间高度互联,显示靠近器官中心的4-6个腔室显,范围从5.5e−4mm3到1.3e−2mm3。

图6
02、编者点评
总体而言,本研究构建出了一种使用人类多能干细胞自组装生成与发育相关的人类心脏类器官的方法,该类器官通过使用化学抑制剂和生长因子的三步Wnt信号调节策略生成,在转录组学、结构和细胞水平上与人类胎儿心脏组织一致,并呈现多细胞类型和形态复杂性,包括了发育过程中腔室形成、电生理活动和血管化;作者团队还将该心脏类器官用于对孕前糖尿病诱发的先天性心脏病进行建模,因此可能成为未来研究人类先天性心脏病分子病理学的有利模型。
作为健康美丽产业CRO服务开拓者与引领者、斑马鱼生物技术的全球领导者,环特生物搭建了“斑马鱼、类器官、哺乳动物、人体”四位一体的综合技术服务体系,开展健康美丽CRO服务、科研服务、智慧实验室搭建三大业务。目前,环特已开发出肠道类器官炎症性疾病模型及胃癌、脑类器官、心脏类器官等各种肿瘤类器官模型,并建立200多种斑马鱼模型,欢迎有需要的读者垂询!